Zum Inhalt springen

Totalprothese mit inLab Software 20.0 - einfach digital

Bild: Dentsply Sirona

Die konventionelle Herstellung von Totalprothesen zählt zu den aufwendigsten manuellen Tätigkeiten im zahntechnischen Labor, verbunden mit hohem Zeitaufwand und intensivem Arbeitsmitteleinsatz sowie spezifischer zahntechnischer Qualifikation und Erfahrung. Das Herstellen einer digitalen Prothese stellt dementsprechend hohe Anforderungen an den CAD/CAM-gestützten Fertigungsprozess. Mit der neuen inLab Software 20.0 erweitert Dentsply Sirona das zahntechnische Indikationsfeld um die Herstellung von digitalen Totalprothesen und bietet darüber hinaus einen labororientierten und wirtschaftlich interessanten Einstieg in dieses Anwendungsgebiet.

Die digitale Herstellung von Totalprothesen beschleunigt den Fertigungsprozess im Labor, bietet mehr Sicherheiten mit Hinblick auf Genauigkeit, Reproduzierbarkeit und Materialqualität und hat positiven Einfluss auf wirtschaftliche Aspekte im Allgemeinen.

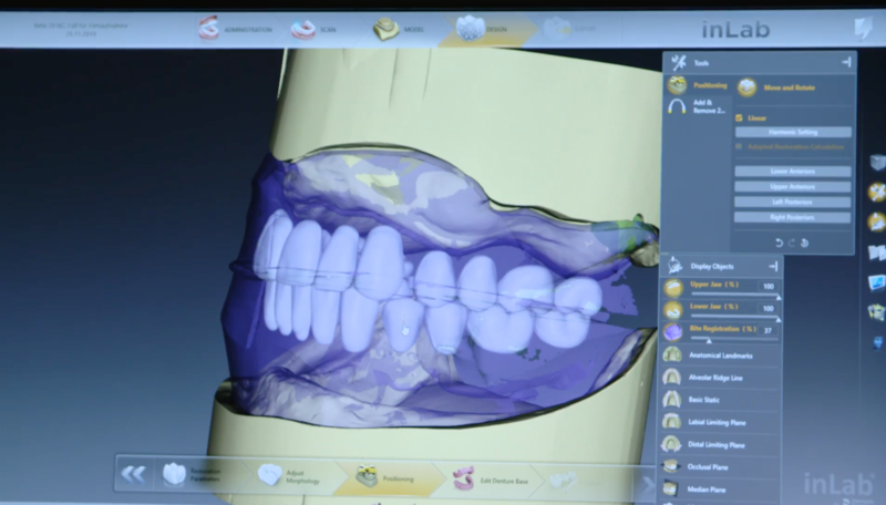
Komplexe Prozesse im digitalen Workflow vereinfachen

Mit dem Update auf die Version 20.0 hat die inLab Software ihr Indikationsspektrum nun erstmalig auf das Anwendungsgebiet der Totalprothese erweitert und ermöglicht dem zahntechnischen Labor eine optimale digitale Unterstützung aller relevanten Prozessschritte – vom genauen Erfassen der Bissregistrierung mit dem Extraoralscanner inEos X5, über eine automatisierte und sorgfältige Modellanalyse bis zum Erstvorschlag einer möglichen Zahnaufstellung sowie der Gestaltung der Prothesenbasis. Gewohnte und bewährte Abläufe hinsichtlich Funktionsabdruck und Bissregistrierung können beibehalten werden und erfordern keine zusätzlichen Hilfsmittel. Über die digitale Weiterverarbeitung entscheidet das Labor.

Hohe Benutzerfreundlichkeit und intuitive Bedienung sind zentraler Bestandteil der neuen Indikation in der inLab Software. Die Anwendung führt den Zahntechniker Schritt für Schritt sicher durch den gesamten digitalen Prozess und ermöglicht individuelle Gestaltungswünsche. Die intelligente Modellanalyse unterstützt bei der Definition der erforderlichen anatomischen Merkmale. Anwender des Extraoralscanners inEos X5 von Dentsply Sirona profitieren ebenfalls vom aktuellen Software-Update 20.0. Eine übersichtlichere Benutzeroberfläche, ein neues Stufen-Menü und die interaktive Hilfestellung mittels Objektliste führen bei jeder Indikation lückenlos durch den Scanprozess. Speziell für die digitale Prothese positioniert ein eigens entwickelter Prothesenhalter das Bissregistrat, für ein sicheres und wackelfreies Scannen in nur einem Schritt. Die für Prothesen optimierte Software ermöglicht zudem einen neuen und schnellen Scanworkflow für die genaue Korrelation von Ober- und Unterkiefer – die optimale Basis für das sich anschließende Design.

Zahnaufstellung nach Wahl

Die inLab SW 20.0 bietet zwei Optionen zur Zahnaufstellung: die Verwendung von digitalisierten Prothesenzähnen, die in einer Zahndatenbank hinterlegt sind, und die individuelle Zahnaufstellung. Beiden liegt das einzigartige biogenerische Verfahren zugrunde, über das die Software die in Okklusion befindlichen Zähne bereits an die gegebene Kiefersituation anpasst.

Im Falle der Verwendung digitalisierter Prothesenzähne aus der Zahndatenbank kommen die neuen, speziell für den digitalen Prozess entwickelten IPN 3DTM Digital Denture Teeth von Dentsply Sirona zum Einsatz. Sie sind basal reduziert, um ein Durchdringen der Prothesenbasis zu vermeiden. Nach der Aufstellung der Zähne in der inLab Software erfolgt die Ausgestaltung der Prothesenbasis mit den entsprechenden Zahntaschen. Dabei findet ein spezielles Positionierungssystem Anwendung, das die spätere Befestigung der Konfektionszähne erleichtert und somit Positionierung und Einkleben der Zähne beschleunigt.

Bei der individuellen Zahnaufstellung können nach der Positionierung Morphologie, Form und Okklusion individuell gestaltet werden. Somit können auch besondere Patientensituationen berücksichtigt oder individuelle Zahnformen erstellt werden. Der Zahnkranz kann komplett gefertigt oder je nach Bedarf in mehrere Segmente bis hin zum einzelnen Zahn unterteilt werden. Nach dem Prothesendesign kann ein monolithisches Try-In für die Einprobe hergestellt werden.

Flexible Fertigungswege

Der sich anschließende Fertigungsprozess ist über verschiedene Verfahren möglich: Die Prothesenbasis kann aus einer Ronde, wie z.B. der Lucitone® 199 Denture Base Disc von Dentsply Sirona, gefräst oder im 3D-Druck hergestellt werden. Je nach gewählter Zahnaufstellung werden Zahnkranz bzw. Zahnkranzsegmente aus einer Ronde gefräst oder die vorkonfektionierten IPN 3DTM Digital Denture Teeth von Dentsply Sirona werden eingesetzt.

Dabei folgt das inLab System weiterhin dem Prinzip der nahtlosen, validierten und offenen Anbindung an geeignete Fertigungsverfahren – ob mit der inLab MC X5 oder über die optionale Schnittstelle mit anderen geeigneten Produktionseinheiten im Fräs- und 3D-Printverfahren.

Totalprothese mit inLab – einfach digital

Die aktuelle inLab Software bietet mit der Indikationserweiterung um die Totalprothese einen schnellen, einfachen und wirtschaftlich sinnvollen Einstieg in die digitale Herstellung von Totalprothesen und eröffnet dem zahntechnischen Labor zugleich den digitalen Weg, der zu ihm passt.

Die neue Anwendung ist im inLab Software 20.0 Modul „Herausnehmbarer Zahnersatz“ integriert. Mehr Informationen unter dentsplysirona.com/digital-denture

Events

Präventionskongress der DGPZM

Wann : 08.05.2026 - 09.05.2026

Digitale Dentale Technologien 2026

Wann : 08.05.2026 - 09.05.2026

mehr Events